Skip Menu
Continue
  • Inicio
  • Ubicaciones
    • Dorado
    • Guaynabo
    • Carolina
  • Sobre Nosotros
    • Pacientes Nuevos
    • Galería Sonrisa
    • Videos Dentales
    • Testimonios
  • Conoce Dr. Champion
    • Derrick R. Champion, DDS
  • Servicios
      • Las Coronas
      • Puentes y Dentaduras
      • Tratamiento De Encías
      • Implantes
      • Invisalign®
      • Lumineers®
      • Examen Inicial Oral
      • Cuidado Dental Pediátrico
      • El Programa Preventivo
      • Restauraciones
      • Tratamiento de Endodoncia
      • Blanqueamiento Dental
      • Carillas
    • View All
  • Su Salud Dental
  • Contacto
    • Contacto
    • Solicitar una cita
  • English

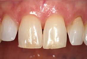
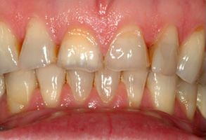
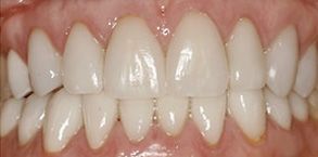
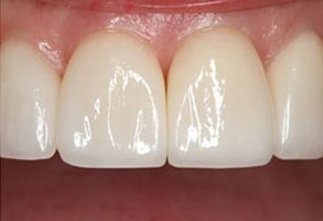
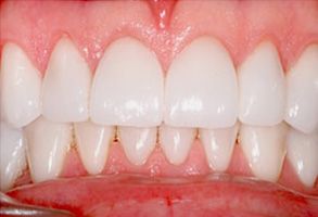
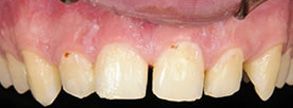
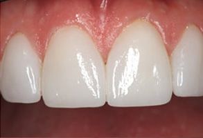
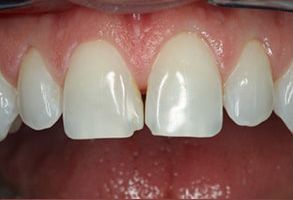
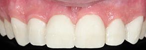
Smile Gallery

Additional Information